Antibodies

14521 products

Showing 14161 - 14184 of 14521 products
View
Western blot analysis on mouse brain lysate using ES8L2 Antibody.AF0463 staining HeLa cells by IF/ICC. The sample were fixed with PFA and permeabilized in 0.1% Triton X-100,then blocked in 10% serum for 45 minutes at 25¡ãC. The primary antibody was diluted at 1/200 and incubated with the sample for 1 hour at 37¡ãC. An  Alexa Fluor 594 conjugated goat anti-rabbit IgG (H+L) antibody(Cat.# S0006), diluted at 1/600, was used as secondary antibod
Western blot analysis of extracts from rat brain, using YTHDF1 Antibody. Lane 1 was treated with the antigen-specific peptide.AF0462 staining 293 by IF/ICC. The sample were fixed with PFA and permeabilized in 0.1% Triton X-100,then blocked in 10% serum for 45 minutes at 25¡ãC. The primary antibody was diluted at 1/200 and incubated with the sample for 1 hour at 37¡ãC. An  Alexa Fluor 594 conjugated goat anti-rabbit IgG (H+L) Ab, diluted at 1/600, was used as the secondary antibod
AF0461 at 1/100 staining human kidney tissue sections by IHC-P. The tissue was formaldehyde fixed and a heat mediated antigen retrieval step in citrate buffer was performed. The tissue was then blocked and incubated with the antibody for 1.5 hours at 22¡ãC. An HRP conjugated goat anti-rabbit antibody was used as the secondaryWestern blot analysis of extracts from Hybridoma cells, using MAP3K6 Antibody. The lane on the left was treated with blocking peptide.
AF0456 staining K562  cells by IF/ICC. The sample were fixed with PFA and permeabilized in 0.1% Triton X-100,then blocked in 10% serum for 45 minutes at 25¡ãC. The primary antibody was diluted at 1/200 and incubated with the sample for 1 hour at 37¡ãC. An  Alexa Fluor 594 conjugated goat anti-rabbit IgG (H+L) antibody(Cat.# S0006), diluted at 1/600, was used as secondary antibodAF0456 staining K562 by IF/ICC. The sample were fixed with PFA and permeabilized in 0.1% Triton X-100,then blocked in 10% serum for 45 minutes at 25¡ãC. The primary antibody was diluted at 1/200 and incubated with the sample for 1 hour at 37¡ãC. An  Alexa Fluor 594 conjugated goat anti-rabbit IgG (H+L) Ab, diluted at 1/600, was used as the secondary antibod
Western blot analysis on COLO205 cell lysate using LDOC1L Antibody,The lane on the left is treated with the antigen-specific peptide.AF0455 staining COLO205 by IF/ICC. The sample were fixed with PFA and permeabilized in 0.1% Triton X-100,then blocked in 10% serum for 45 minutes at 25¡ãC. The primary antibody was diluted at 1/200 and incubated with the sample for 1 hour at 37¡ãC. An  Alexa Fluor 594 conjugated goat anti-rabbit IgG (H+L) Ab, diluted at 1/600, was used as the secondary antibod
Western blot analysis on COLO205 cell lysate using ATF6B Antibody,The lane on the left is treated with the antigen-specific peptide.AF0454 staining COLO205 by IF/ICC. The sample were fixed with PFA and permeabilized in 0.1% Triton X-100,then blocked in 10% serum for 45 minutes at 25¡ãC. The primary antibody was diluted at 1/200 and incubated with the sample for 1 hour at 37¡ãC. An  Alexa Fluor 594 conjugated goat anti-rabbit IgG (H+L) Ab, diluted at 1/600, was used as the secondary antibod
Western blot analysis on COLO205 cell lysate using TRIM3 Antibody,The lane on the left is treated with the antigen-specific peptide.AF0453 at 1/100 staining human heart muscle tissue sections by IHC-P. The tissue was formaldehyde fixed and a heat mediated antigen retrieval step in citrate buffer was performed. The tissue was then blocked and incubated with the antibody for 1.5 hours at 22¡ãC. An HRP conjugated goat anti-rabbit antibody was used as the secondary
Western blot analysis on HepG2 cell lysate using RHBT2 AntibodyAF0450 staining HepG2  cells by IF/ICC. The sample were fixed with PFA and permeabilized in 0.1% Triton X-100,then blocked in 10% serum for 45 minutes at 25¡ãC. The primary antibody was diluted at 1/200 and incubated with the sample for 1 hour at 37¡ãC. An  Alexa Fluor 594 conjugated goat anti-rabbit IgG (H+L) antibody(Cat.# S0006), diluted at 1/600, was used as secondary antibod
AF0449 staining HepG2 by IF/ICC. The sample were fixed with PFA and permeabilized in 0.1% Triton X-100,then blocked in 10% serum for 45 minutes at 25¡ãC. The primary antibody was diluted at 1/200 and incubated with the sample for 1 hour at 37¡ãC. An  Alexa Fluor 594 conjugated goat anti-rabbit IgG (H+L) Ab, diluted at 1/600, was used as the secondary antibodWestern blot analysis of extracts from 293 and Hela , using MAP3K3 Antibody.
Western blot analysis on Jurkat cell lysate using C1orf57 AntibodyAF0448 staining Hela by IF/ICC. The sample were fixed with PFA and permeabilized in 0.1% Triton X-100,then blocked in 10% serum for 45 minutes at 25¡ãC. The primary antibody was diluted at 1/200 and incubated with the sample for 1 hour at 37¡ãC. An  Alexa Fluor 594 conjugated goat anti-rabbit IgG (H+L) Ab, diluted at 1/600, was used as the secondary antibod
Western blot analysis on Jurkat cell lysate using FKBPL AntibodyWestern blot analysis of extracts from Mouse  brain, using FKBPL Antibody. The lane on the left was treated with blocking peptide.
GAS41 AntibodyGAS41 Antibody
Western blot analysis on Jurkat cell lysate using MTA1 AntibodyAF0444 staining Hela by IF/ICC. The sample were fixed with PFA and permeabilized in 0.1% Triton X-100,then blocked in 10% serum for 45 minutes at 25¡ãC. The primary antibody was diluted at 1/200 and incubated with the sample for 1 hour at 37¡ãC. An  Alexa Fluor 594 conjugated goat anti-rabbit IgG (H+L) Ab, diluted at 1/600, was used as the secondary antibod
Western blot analysis on HepG2 cell lysate using CEBPB Antibody,The lane on the left is treated with the antigen-specific peptide.AF0443 staining HepG2 by IF/ICC. The sample were fixed with PFA and permeabilized in 0.1% Triton X-100,then blocked in 10% serum for 45 minutes at 25¡ãC. The primary antibody was diluted at 1/200 and incubated with the sample for 1 hour at 37¡ãC. An  Alexa Fluor 594 conjugated goat anti-rabbit IgG (H+L) Ab, diluted at 1/600, was used as the secondary antibod
Western blot analysis on RAW264.7 cell lysate using BHLHB3 Antibody,The lane on the left is treated with the antigen-specific peptide.AF0442 staining RAW264.7 by IF/ICC. The sample were fixed with PFA and permeabilized in 0.1% Triton X-100,then blocked in 10% serum for 45 minutes at 25¡ãC. The primary antibody was diluted at 1/200 and incubated with the sample for 1 hour at 37¡ãC. An  Alexa Fluor 594 conjugated goat anti-rabbit IgG (H+L) Ab, diluted at 1/600, was used as the secondary antibod
AF0441 staining HepG2 by IF/ICC. The samples were fixed with PFA and permeabilized in 0.1% Triton X-100,then blocked in 10% serum for 45 minutes at 25¡ãC. Samples were then incubated with primary Ab(AF0441 1:200) and mouse anti-beta tubulin Ab(T0023 1:200) for 1 hour at 37¡ãC. An  AlexaFluor594 conjugated goat anti-rabbit IgG(H+L) Ab(S0006 1:200 Red) and an AlexaFluor488 conjugated goat anti-mouse IgG(H+L) Ab(S0017 1:600 Green) were used as the secondary antibodWestern blot analysis on mouse brain lysate using NPM Antibody
Western blot analysis on HT29 cell lysate using MED17 Antibody,The lane on the left is treated with the antigen-specific peptide.AF0440 staining HT29 by IF/ICC. The sample were fixed with PFA and permeabilized in 0.1% Triton X-100,then blocked in 10% serum for 45 minutes at 25¡ãC. The primary antibody was diluted at 1/200 and incubated with the sample for 1 hour at 37¡ãC. An  Alexa Fluor 594 conjugated goat anti-rabbit IgG (H+L) Ab, diluted at 1/600, was used as the secondary antibod
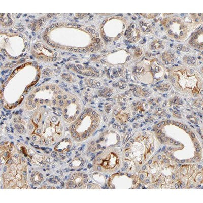
AF0438 at 1/100 staining human kidney tissue sections by IHC-P. The tissue was formaldehyde fixed and a heat mediated antigen retrieval step in citrate buffer was performed. The tissue was then blocked and incubated with the antibody for 1.5 hours at 22¡ãC. An HRP conjugated goat anti-rabbit antibody was used as the secondaryWestern blot analysis of extracts from HepG2, using TUBGCP3 Antibody. The lane on the left was treated with blocking peptide.
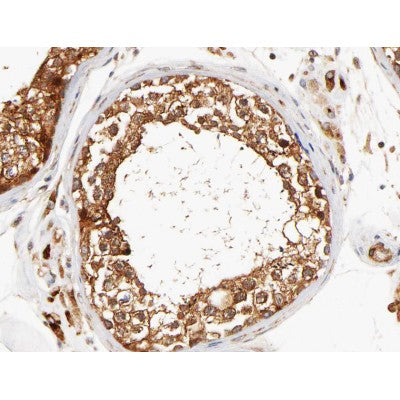
AF0437 at 1/100 staining human testis tissue sections by IHC-P. The tissue was formaldehyde fixed and a heat mediated antigen retrieval step in citrate buffer was performed. The tissue was then blocked and incubated with the antibody for 1.5 hours at 22¡ãC. An HRP conjugated goat anti-rabbit antibody was used as the secondaryWestern blot analysis of extracts from VERO, using DCLK3 Antibody. The lane on the left was treated with blocking peptide.
Western blot analysis on SK-OV3 cell lysate using EGFR Antibody,The lane on the left is treated with the antigen-specific peptide.AF0436 staining SK-OV3 by IF/ICC. The sample were fixed with PFA and permeabilized in 0.1% Triton X-100,then blocked in 10% serum for 45 minutes at 25¡ãC. The primary antibody was diluted at 1/200 and incubated with the sample for 1 hour at 37¡ãC. An  Alexa Fluor 594 conjugated goat anti-rabbit IgG (H+L) Ab, diluted at 1/600, was used as the secondary antibod
Western blot analysis of ETV4 Antibody expression in K562 cells lysates.The lane on the left is treated with the antigen-specific peptide.Immunohistochemical analysis of paraffin-embedded colon cancer tissues
AF0433 at 1/100 staining human brain tissue sections by IHC-P. The tissue was formaldehyde fixed and a heat mediated antigen retrieval step in citrate buffer was performed. The tissue was then blocked and incubated with the antibody for 1.5 hours at 22¡ãC. An HRP conjugated goat anti-rabbit antibody was used as the secondary
AF0431 at 1/100 staining human brain tissue sections by IHC-P. The tissue was formaldehyde fixed and a heat mediated antigen retrieval step in citrate buffer was performed. The tissue was then blocked and incubated with the antibody for 1.5 hours at 22¡ãC. An HRP conjugated goat anti-rabbit antibody was used as the secondaryAF0431 staining HeLa  cells by IF/ICC. The sample were fixed with PFA and permeabilized in 0.1% Triton X-100,then blocked in 10% serum for 45 minutes at 25¡ãC. The primary antibody was diluted at 1/200 and incubated with the sample for 1 hour at 37¡ãC. An  Alexa Fluor 594 conjugated goat anti-rabbit IgG (H+L) antibody(Cat.# S0006), diluted at 1/600, was used as secondary antibod
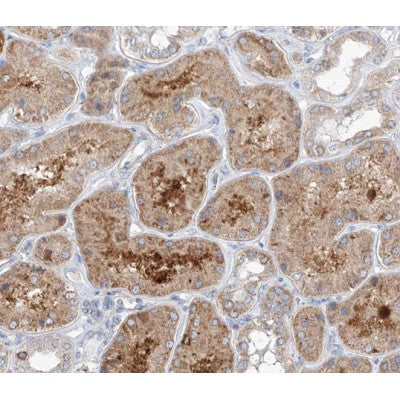
Western blot analysis of extracts of various tissue sample,using DUS2L Antibody .AF0430 at 1/100 staining human kidney tissue sections by IHC-P. The tissue was formaldehyde fixed and a heat mediated antigen retrieval step in citrate buffer was performed. The tissue was then blocked and incubated with the antibody for 1.5 hours at 22¡ãC. An HRP conjugated goat anti-rabbit antibody was used as the secondary

Recently viewed