Antibodies

14521 products

Showing 14209 - 14232 of 14521 products
View
Western blot analysis on HuvEc cell lysate using PARK7 Antibody,The lane on the left is treated with the antigen-specific peptide.AF0380 staining HuvEc by IF/ICC. The sample were fixed with PFA and permeabilized in 0.1% Triton X-100,then blocked in 10% serum for 45 minutes at 25¡ãC. The primary antibody was diluted at 1/200 and incubated with the sample for 1 hour at 37¡ãC. An  Alexa Fluor 594 conjugated goat anti-rabbit IgG (H+L) Ab, diluted at 1/600, was used as the secondary antibod
Western blot analysis on HeLa cell lysate using MUTYH Antibody,The lane on the left is treated with the antigen-specific peptide.AF0379 staining HeLa  cells by IF/ICC. The sample were fixed with PFA and permeabilized in 0.1% Triton X-100,then blocked in 10% serum for 45 minutes at 25¡ãC. The primary antibody was diluted at 1/200 and incubated with the sample for 1 hour at 37¡ãC. An  Alexa Fluor 594 conjugated goat anti-rabbit IgG (H+L) antibody(Cat.# S0006), diluted at 1/600, was used as secondary antibod
Western blot analysis of extracts from 293, using BARD1 Antibody.
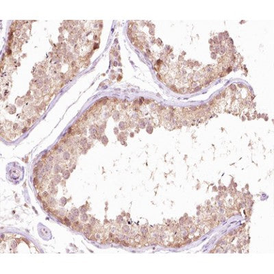
AF0377 at 1/100 staining human testis tissue sections by IHC-P. The tissue was formaldehyde fixed and a heat mediated antigen retrieval step in citrate buffer was performed. The tissue was then blocked and incubated with the antibody for 1.5 hours at 22¡ãC. An HRP conjugated goat anti-rabbit antibody was used as the secondary
AF0375 staining Hela by IF/ICC. The samples were fixed with PFA and permeabilized in 0.1% Triton X-100,then blocked in 10% serum for 45 minutes at 25¡ãC. Samples were then incubated with primary Ab(AF0375 1:200) and mouse anti-beta tubulin Ab(T0023 1:200) for 1 hour at 37¡ãC. An  AlexaFluor594 conjugated goat anti-rabbit IgG(H+L) Ab(S0006 1:200 Red) and an AlexaFluor488 conjugated goat anti-mouse IgG(H+L) Ab(S0017 1:600 Green) were used as the secondary antibodAF0375 staining HeLa by IF/ICC. The sample were fixed with PFA and permeabilized in 0.1% Triton X-100,then blocked in 10% serum for 45 minutes at 25¡ãC. The primary antibody was diluted at 1/200 and incubated with the sample for 1 hour at 37¡ãC. An  Alexa Fluor 594 conjugated goat anti-rabbit IgG (H+L) Ab, diluted at 1/600, was used as the secondary antibod
Western blot analysis on HepG2 cell lysate using SERC1 Antibody,The lane on the left is treated with the antigen-specific peptide.AF0374 staining HepG2 cells by IF/ICC. The sample were fixed with PFA and permeabilized in 0.1% Triton X-100,then blocked in 10% serum for 45 minutes at 25¡ãC. The primary antibody was diluted at 1/200 and incubated with the sample for 1 hour at 37¡ãC. An  Alexa Fluor 594 conjugated goat anti-rabbit IgG (H+L) antibody(Cat.# S0006), diluted at 1/600, was used as secondary antibod
Western blot analysis on HeLa cell lysate using MKNK1 Antibody,The lane on the left is treated with the antigen-specific peptide.AF0373 staining HeLa by IF/ICC. The sample were fixed with PFA and permeabilized in 0.1% Triton X-100,then blocked in 10% serum for 45 minutes at 25¡ãC. The primary antibody was diluted at 1/200 and incubated with the sample for 1 hour at 37¡ãC. An  Alexa Fluor 594 conjugated goat anti-rabbit IgG (H+L) Ab, diluted at 1/600, was used as the secondary antibod
AF0372 staining LOVO by IF/ICC. The sample were fixed with PFA and permeabilized in 0.1% Triton X-100,then blocked in 10% serum for 45 minutes at 25¡ãC. The primary antibody was diluted at 1/200 and incubated with the sample for 1 hour at 37¡ãC. An  Alexa Fluor 594 conjugated goat anti-rabbit IgG (H+L) Ab, diluted at 1/600, was used as the secondary antibodWestern blot analysis of extracts from rat brain, using FOXJ1 Antibody.
This image is a courtesy of anonymous review.
AF0367 staining HuvEc by IF/ICC. The sample were fixed with PFA and permeabilized in 0.1% Triton X-100,then blocked in 10% serum for 45 minutes at 25¡ãC. The primary antibody was diluted at 1/200 and incubated with the sample for 1 hour at 37¡ãC. An  Alexa Fluor 594 conjugated goat anti-rabbit IgG (H+L) Ab, diluted at 1/600, was used as the secondary antibodWestern blot analysis of extracts from 293, using GALK1 Antibody. The lane on the left was treated with blocking peptide.
AF0366 staining Hela by IF/ICC. The samples were fixed with PFA and permeabilized in 0.1% Triton X-100,then blocked in 10% serum for 45 minutes at 25¡ãC. Samples were then incubated with primary Ab(AF0366 1:200) and mouse anti-beta tubulin Ab(T0023 1:200) for 1 hour at 37¡ãC. An  AlexaFluor594 conjugated goat anti-rabbit IgG(H+L) Ab(S0006 1:200 Red) and an AlexaFluor488 conjugated goat anti-mouse IgG(H+L) Ab(S0017 1:600 Green) were used as the secondary antibodWestern blot analysis of TAF1 Antibody expression in mouse heart and rat muscle tissues lysates.The lane on the right is treated with the antigen-specific peptide.
Western blot analysis on LOVO cell lysate using TNF-R2 Antibody,The lane on the left is treated with the antigen-specific peptide.AF0365 staining HeLa  cells by IF/ICC. The sample were fixed with PFA and permeabilized in 0.1% Triton X-100,then blocked in 10% serum for 45 minutes at 25¡ãC. The primary antibody was diluted at 1/200 and incubated with the sample for 1 hour at 37¡ãC. An  Alexa Fluor 594 conjugated goat anti-rabbit IgG (H+L) antibody(Cat.# S0006), diluted at 1/600, was used as secondary antibod
Western blot analysis on LOVO cell lysate using TNF-R2 Antibody,The lane on the left is treated with the antigen-specific peptide.AF0364 staining Hek293 cells by IF/ICC. The sample were fixed with PFA and permeabilized in 0.1% Triton X-100,then blocked in 10% serum for 45 minutes at 25¡ãC. The primary antibody was diluted at 1/200 and incubated with the sample for 1 hour at 37¡ãC. An  Alexa Fluor 594 conjugated goat anti-rabbit IgG (H+L) antibody(Cat.# S0006), diluted at 1/600, was used as secondary antibod
AF0363 at 1/100 staining human brain tissue sections by IHC-P. The tissue was formaldehyde fixed and a heat mediated antigen retrieval step in citrate buffer was performed. The tissue was then blocked and incubated with the antibody for 1.5 hours at 22¡ãC. An HRP conjugated goat anti-rabbit antibody was used as the secondaryAF0363 staining K562 by IF/ICC. The sample were fixed with PFA and permeabilized in 0.1% Triton X-100,then blocked in 10% serum for 45 minutes at 25¡ãC. The primary antibody was diluted at 1/200 and incubated with the sample for 1 hour at 37¡ãC. An  Alexa Fluor 594 conjugated goat anti-rabbit IgG (H+L) Ab, diluted at 1/600, was used as the secondary antibod
AF0362 staining Hela by IF/ICC. The samples were fixed with PFA and permeabilized in 0.1% Triton X-100,then blocked in 10% serum for 45 minutes at 25¡ãC. Samples were then incubated with primary Ab(AF0362 1:200) and mouse anti-beta tubulin Ab(T0023 1:200) for 1 hour at 37¡ãC. An  AlexaFluor594 conjugated goat anti-rabbit IgG(H+L) Ab(S0006 1:200 Red) and an AlexaFluor488 conjugated goat anti-mouse IgG(H+L) Ab(S0017 1:600 Green) were used as the secondary antibodAF0362 staining HeLa  cells by IF/ICC. The sample were fixed with PFA and permeabilized in 0.1% Triton X-100,then blocked in 10% serum for 45 minutes at 25¡ãC. The primary antibody was diluted at 1/200 and incubated with the sample for 1 hour at 37¡ãC. An  Alexa Fluor 594 conjugated goat anti-rabbit IgG (H+L) antibody(Cat.# S0006), diluted at 1/600, was used as secondary antibod
AF0361 staining COLO205 by IF/ICC. The sample were fixed with PFA and permeabilized in 0.1% Triton X-100,then blocked in 10% serum for 45 minutes at 25¡ãC. The primary antibody was diluted at 1/200 and incubated with the sample for 1 hour at 37¡ãC. An  Alexa Fluor 594 conjugated goat anti-rabbit IgG (H+L) Ab, diluted at 1/600, was used as the secondary antibodWestern blot analysis of extracts from mouse brain, using KAPC A/B Antibody. Lane 1 was treated with the blocking peptide.
Western blot analysis on Jurkat and NIH-3T3 cell lysate using CD271 Antibody,The lane on the left is treated with the antigen-specific peptide.AF0360 staining U-2 OS cells by IF/ICC. The sample were fixed with PFA and permeabilized in 0.1% Triton X-100,then blocked in 10% serum for 45 minutes at 25¡ãC. The primary antibody was diluted at 1/200 and incubated with the sample for 1 hour at 37¡ãC. An  Alexa Fluor 594 conjugated goat anti-rabbit IgG (H+L) antibody(Cat.# S0006), diluted at 1/600, was used as secondary antibod
Western blot analysis on A549 cell lysate using Histone H1.0 Antibody,The lane on the left is treated with the antigen-specific peptide.AF0359 staining Hela by IF/ICC. The sample were fixed with PFA and permeabilized in 0.1% Triton X-100,then blocked in 10% serum for 45 minutes at 25¡ãC. The primary antibody was diluted at 1/200 and incubated with the sample for 1 hour at 37¡ãC. An  Alexa Fluor 594 conjugated goat anti-rabbit IgG (H+L) Ab, diluted at 1/600, was used as the secondary antibod
Western blot analysis on 293 cell lysate using MYC Antibody,The lane on the left is treated with the antigen-specific peptide.c-MYC Antibody
Western blot analysis on NIH-3T3 cell lysate using THRB Antibody,The lane on the left is treated with the antigen-specific peptide.AF0357 at 1/100 staining human liver tissue sections by IHC-P. The tissue was formaldehyde fixed and a heat mediated antigen retrieval step in citrate buffer was performed. The tissue was then blocked and incubated with the antibody for 1.5 hours at 22¡ãC. An HRP conjugated goat anti-rabbit antibody was used as the secondary
AF0356 at 1/100 staining human skeletal muscle tissue sections by IHC-P. The tissue was formaldehyde fixed and a heat mediated antigen retrieval step in citrate buffer was performed. The tissue was then blocked and incubated with the antibody for 1.5 hours at 22¡ãC. An HRP conjugated goat anti-rabbit antibody was used as the secondary
Western blot analysis on 293 cell lysate using MOS Antibody,The lane on the left is treated with the antigen-specific peptide.AF0355 staining 293 by IF/ICC. The sample were fixed with PFA and permeabilized in 0.1% Triton X-100,then blocked in 10% serum for 45 minutes at 25¡ãC. The primary antibody was diluted at 1/200 and incubated with the sample for 1 hour at 37¡ãC. An  Alexa Fluor 594 conjugated goat anti-rabbit IgG (H+L) Ab, diluted at 1/600, was used as the secondary antibod
AF0354 staining A-431 cells by IF/ICC. The sample were fixed with PFA and permeabilized in 0.1% Triton X-100,then blocked in 10% serum for 45 minutes at 25¡ãC. The primary antibody was diluted at 1/200 and incubated with the sample for 1 hour at 37¡ãC. An  Alexa Fluor 594 conjugated goat anti-rabbit IgG (H+L) antibody(Cat.# S0006), diluted at 1/600, was used as secondary antibodAF0354 staining HepG2 by IF/ICC. The sample were fixed with PFA and permeabilized in 0.1% Triton X-100,then blocked in 10% serum for 45 minutes at 25¡ãC. The primary antibody was diluted at 1/200 and incubated with the sample for 1 hour at 37¡ãC. An  Alexa Fluor 594 conjugated goat anti-rabbit IgG (H+L) Ab, diluted at 1/600, was used as the secondary antibod
Western blot analysis on Jurkat cell lysate using MBD3 Antibody,The lane on the left is treated with the antigen-specific peptide.AF0353 staining Hela by IF/ICC. The sample were fixed with PFA and permeabilized in 0.1% Triton X-100,then blocked in 10% serum for 45 minutes at 25¡ãC. The primary antibody was diluted at 1/200 and incubated with the sample for 1 hour at 37¡ãC. An  Alexa Fluor 594 conjugated goat anti-rabbit IgG (H+L) Ab, diluted at 1/600, was used as the secondary antibod

Recently viewed