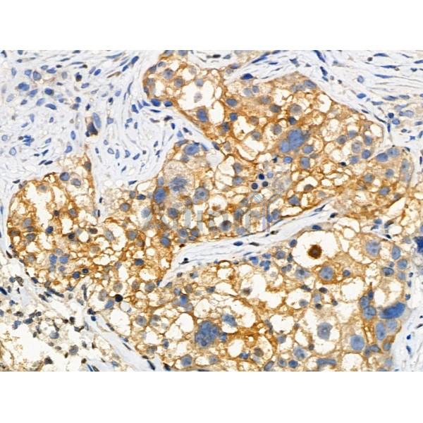
Phospho-MLKL (Thr349) Antibody -AF3904

SKU: AF3904
(0 review)

Size: 100ul
Price:
$737.04 inc.GST /
$640.90
excl.GST
Stock:

Available in 2-3 weeks

In stock

Description

Delivery Information

Payment & Security

PayPal

Your payment information is processed securely. We do not store credit card details nor have access to your credit card information.

You may also like

Recently viewed